X-Rays That Will Make You Very Uncomfortable (22 pics)

Posted in RANDOM       21 May 2018       8036       1

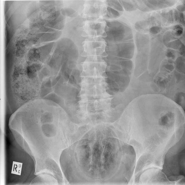
78 different pieces of cutlery in a woman’s stomach.

An aerosol can.

An orange.

A cell phone.

A zucchini.

DILDO! DILDO! DILDO!

An egg (obviously).

An eggplant.

Gal lighter refill can.

The effects of Gout.

A man with a sexy toy stuck up his ass tried to remove it with salad tongs.

They also got stuck.

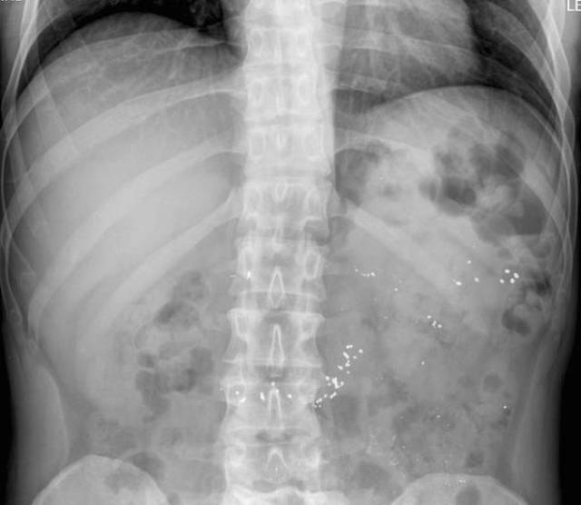
Mercury from a shattered thermometer.

An artillery shell in someone’s rectum.

Nails. A lot of nails.

A pint glass.

A crew in the finger.

Spoon

A metal pole somehow up someones rectum.

A vibrator.

A wedding ring.

Man puts wire up his rectum to get stuck wine bottle.

Both get stuck. As ever.


1   Comment ?
0xrays that will make you very uncomfortable 22 pics.html - 22 HD Photos | Premium Gallery 2018xrays that will make you very uncomfortable 22 pics.html - 22 HD Photos | Premium Gallery 2018
1.
xrays that will make you very uncomfortable 22 pics.html - 22 HD Photos | Premium Gallery 2018
Zed 5 year s ago
Number 6, that's a great sex dong
       
xrays that will make you very uncomfortable 22 pics.html - 22 HD Photos | Premium Gallery 2018
27353641acute
belayclappingdance3dashdirol
drinksfoolgirl_craygirl_devilgirl_witch
goodgreenheartJC-LOLJC_doubledown
JC_OMG_signkisslaughingman_in_lmocking
mr47_04musicokroflsarcastic
sm_80tonguevishenka_33vomitwassat
yahooshoot

Archives

2024
2023
2022
2021
2020
2019
2018
2017
2016
2015
2014
2013
2012
2011
2010
2009
2008

How to comment

NO FUCKING RULES!!!

🚫 AdBlock Detected!
Please disable it to support our free content.