The Most Bizarre Items That Have Gotten Stuck in People’s Bodies (37 pics)

Posted in NSFW       6 Feb 2015       8848       1

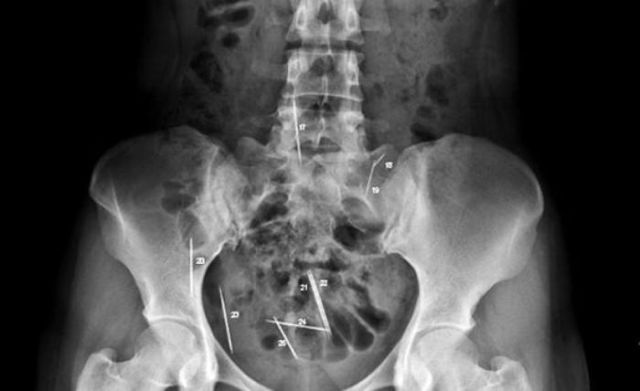
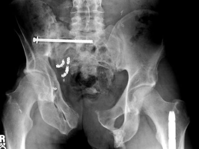
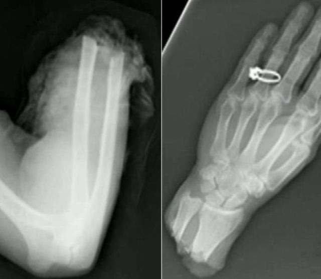
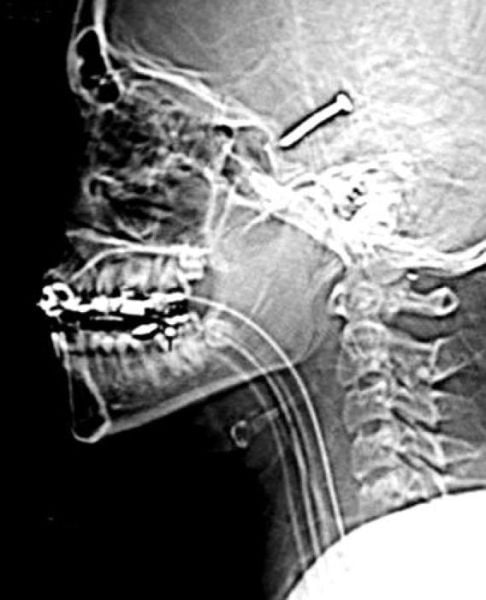
These x-rays will make you wonder how this could ever have happened in the first place.

 


1   Comment ?
1the most bizarre items that have gotten stuck 37 pics.html - 37 HD Photos | Premium Gallery 2015the most bizarre items that have gotten stuck 37 pics.html - 37 HD Photos | Premium Gallery 2015
1.
the most bizarre items that have gotten stuck 37 pics.html - 37 HD Photos | Premium Gallery 2015
peter.werner.908 11 year s ago
The items are not bizarre at all... car keys, nails, a fork, scissors... nope.. nothing bizarre so far... a goblin on a tiny dragon would've been bizarre indeed..
       
the most bizarre items that have gotten stuck 37 pics.html - 37 HD Photos | Premium Gallery 2015
27353641acute
belayclappingdance3dashdirol
drinksfoolgirl_craygirl_devilgirl_witch
goodgreenheartJC-LOLJC_doubledown
JC_OMG_signkisslaughingman_in_lmocking
mr47_04musicokroflsarcastic
sm_80tonguevishenka_33vomitwassat
yahooshoot

Archives

2024
2023
2022
2021
2020
2019
2018
2017
2016
2015
2014
2013
2012
2011
2010
2009
2008

How to comment

NO FUCKING RULES!!!

🚫 AdBlock Detected!
Please disable it to support our free content.