A dentist found the source of the toothache Patrick Lawler was complaining about on the roof of his mouth: a four-inch (10-centimeter) nail the construction worker had unknowingly embedded in his skull six days earlier.
Eleven-year-old Chinese schoolboy Liu Cheong had a brush with death when his friend shot him in the head with a 16-inch arrow, according to numerous international media reports. The arrow entered his skull through the eye socket and lodged in the back of his head. Somehow, the boy was spared a fatal brain injury.
And the old classic: Pint Glass Up The Butt!
A 16-year-old cheated death when a 5-inch knife was plunged into his head. The teenager was rushed to hospital with the kitchen knife still stuck in his forehead.
8-year-old Haley Lents of Indiana swallowed 10 magnets and 20 steel balls from a Magnetix toy set. The magnets and balls attracted one another within her digestive tract, ripping a total of eight holes in her intestines and forcing her parents to rush her to the hospital for emergency surgery. Lents later told reporters that the magnets and steel balls "looked like candy"
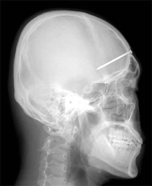
The 5-centimeter nail shown in this X-ray was found after a man came to a Seoul, South Korea, hospital complaining of a severe headache. After examining and interviewing the man, doctors speculated that the nail had been the result of an accident four years before his visit, but that the man did not know the nail was lodged in his head.
This X-ray reveals a cell phone lodged in a Salvadoran prisoner's lower intestine. The man is one of four prisoners who are members of the Mara Salvatrucha street gang. The men were caught with cell phones, spare chips and a charger that they had attempted to smuggle, according to authorities at San Salvador's Zacatecoluca prison.
This X-ray was taken of a 60-year-old man who checked himself into Nishtar Hospital in Multan, Pakistan. He sought treatment because he claimed thieves had inserted a Pepsi bottle into his anus before stealing two of his buffalo.
This X-ray shows how, during a fall, a car key penetrated the eyelid of 17-month-old Nicholas Holderman of Kentucky, reaching his brain. While doctors initially believed that the object had ruptured Nicholas' eyeball, another team of specialists later confirmed that the boy had sustained no permanent damage.
This guy was picking his teeth with a pair of scissors and then started laughing and down go the scissors. He lived and is fine!
X-ray of scissors left inside Pat Skinner's stomach of Hurstvlle during a operation at St George Hospital, Sydney
X-ray revealing a diamond ring inside Wilfredo Gonzalez-Cruz, 30, of Chicago, that he allegedly stole from the home of a women in Cicero, and then swallowed.
This X-ray that shows the quarter that was swallowed by a 6-year-old girl.
Getting a vibrator stuck in his bum wasn't enough to send this man to the ER. He simply attempted to remove the stuck object by using a pair of salad tongs. Trouble is, then the tongs got stuck, too!
This incident was not an accident, it was intentional. The late Ryan Dunn of the television show Jackass intentionally inserted a Matchbox car into his rectum just to mess with the ER doctors.
A Chinese man was complaining of stomach pains.The man, was forced to seek medical help after failing to extract a bottle with a curved piece of wire. When medical staff quizzed him on the pain, he claimed he did not know what was causing his discomfort.But he suddenly remembered what had happened when staff presented him with clear X-rays showing the bottle and wire inside of him. He admitted inserting the bottle at home before it became stuck and said he used a steel wire in an attempt to get it back out in a moment of panic.
52-year-old Dutchwoman Margaret Daalman came to hospital complaining of stomach ache, and one glance at her X-ray shows why.Surgeons in Rotterdam in the Netherlands were astonished when X-rays showed 78 different items of cutlery in her stomach.
A 13-year-old slipped on an icy school floor in China. Xiao Lin fell forward onto a hook which embedded in his eye. A school handyman sawed the hook off the wall to free the lad, leaving 5cm sticking out of his head. Surgeon Yan Shijun commented: "The hook pierced his skull but was turned to the side by the impact. Any movement would have sent it into his brain and he could have died on the spot." He added: "He has lost his right eye but he's very lucky to be alive at all"
Wu Moude, 22, landed on a steel bar which penetrated 15cm into his head from beneath his chin. It took five hours of surgery to remove the bar, which saw surgeons cut open Wu's windpipe and skull.
A Chinese man told hospital doctors he had been moving furniture around at home when he spotted a mouse. He picked up a steel bar and gave chase - but tripped and landed on the bar, which lodged in his anus. The doctors feared just pulling out the hooked bar could cause further injuries. Firefighters cut off the bar's protruding end before it was surgically removed.
A Chinese teenager slipped and stabbed himself in the face with a 7cm knife while peeling an apple. Ren Hanzhi's father recalled: "He was walking to the sofa while peeling the apple. Suddenly he slipped down and his face hit onto the sharp knife. I dared not pull out the knife as my son was screaming." Chief surgeon Peng Liwei, who operated to remove the knife, commented: "It's shocking. The knife, which is more than 20cm long, penetrated 7cm into his face. "The surgery was successful and the patient could recover fully in around a month."
